微信掃描二維碼,點擊右上角 ··· 按鈕
轉發給朋友或分享到朋友圈
顯微成像·洞察微觀之美
Microscopic imaging, insight into the beauty of micro
顯微鏡下的奇妙生物世界:探索微觀生命的精彩瞬間
發布時間:2024-11-15
訪問量:2149
(說明:本文圖片均來自于微信公眾號:顯微觀形態)
在顯微鏡的鏡頭下,神奇的微觀世界向我們徐徐展開,那里隱藏著一個個鮮活的“小故事”:淋巴細胞三兩“組隊”,仿佛正在玩一場“斗地主”游戲;白細胞與細菌殊死搏斗,上演了一場精彩的“微觀戰役”;晶瑩透亮的草酸鈣晶體散在排列,像是大自然的“微小寶石”。今天就讓我們一起,跟隨顯微鏡的視角,探尋這些迷人的“生物奇觀”!
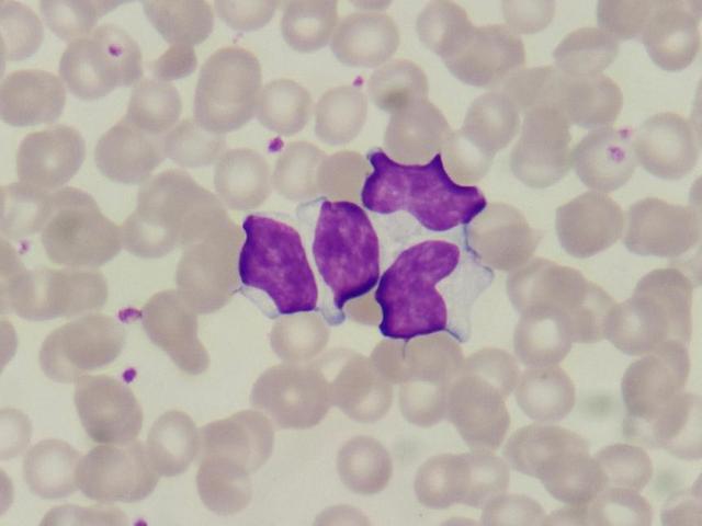
1. 淋巴細胞“斗地主”:我也來觀戰!

淋巴細胞是免疫系統中的“重要人物”,肩負著抵抗病原體、預防感染的重任。在顯微鏡下,有三個淋巴細胞聚在一起,看上去像極了“斗地主”場景,而另一顆則似乎在旁邊“觀戰”。讓人不禁莞爾一笑,免疫戰士們也有娛樂時光呢!
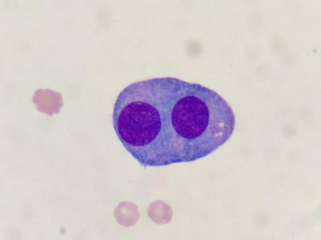
2. 雙核的間皮細胞:自然界的“雙黃蛋”

間皮細胞覆蓋在胸膜、腹膜、心包等體腔表面,主要起保護和潤滑的作用。這種細胞扁平且成薄膜狀,減輕了器官間摩擦。顯微鏡下,這個間皮細胞的雙核就像“雙黃蛋”,有種獨特的視覺效果,既科學又帶點溫馨。
3. 豬巨吻棘頭蟲卵:微觀世界的“杏仁”

豬巨吻棘頭蟲是一種寄生蟲,常見于豬的小腸中,影響豬的健康。這種蟲的卵在顯微鏡下呈卵圓形,堅硬的蛋殼看上去像一顆微型“杏仁”。雖然是寄生蟲的產物,卻也別有一番趣味,展示了生物界豐富的多樣性。
4. 草酸鈣結晶:小小啞鈴般的晶瑩剔透

草酸鈣結晶通常存在于人類的尿液中,是食用富含草酸的食物后由體內代謝形成的。顯微鏡下,黃橙橙的草酸鈣結晶形似迷你啞鈴,晶瑩剔透、奇趣可愛,像是微觀世界中的“小小藝術品”。
5. 血小板聚集:星河般壯觀的“凝血風景”

血小板是血液中的小小“凝血衛士”,負責止血和凝血。受損血管處,血小板迅速聚集、粘附在血管壁上,形成血小板栓,看上去仿佛星河般燦爛。那種生機與秩序,讓人不禁感嘆生命的微觀之美。
6. 前列腺液中的脂肪滴:折光明亮的“小星球”

顯微鏡下,前列腺液中的脂肪滴折光性極強,染色后呈現鮮艷的顏色,像是漂浮的小星球。這個場景豐富了我們對身體微觀結構的認識,也讓人對生命的復雜性多了一分敬畏。
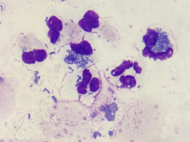
7. 白細胞大戰細菌:一場沒有硝煙的“生死較量”

作為免疫系統的主力軍,白細胞時時警惕外來入侵者。顯微鏡下,白細胞正與細菌展開一場激烈的“生死大戰”。兩方勢均力敵,勝負未決。這場“微觀戰斗”讓人感受到生命的活力和白細胞的頑強...
顯微鏡下的世界多姿多彩,每一幅圖像都是生命的故事。這樣的故事還有很多,時刻在上演,感興趣的朋友可以親自上手,使用生物顯微鏡就可以欣賞到這些奇妙的微觀世界。我們為大家推薦明美的生物顯微鏡ML51,采用優秀的無窮遠獨立消色差光學,搭配大視野目鏡,成像清晰,色彩鮮明,是形態學觀察和檢測的好幫手。

免責聲明
本站無法鑒別所上傳圖片、字體或文字內容的版權,如無意中侵犯了哪個權利人的知識產權,請來信或來電告之,本站將立即予以刪除,謝謝。
微信掃描二維碼,點擊右上角 ··· 按鈕
轉發給朋友或分享到朋友圈